收藏本站
当前位置: 唯一图库 > 图说天下 > 社会百态 >

社会百态简介:

社会百态 栏目由唯一图库竭诚为你提供。社会百态以各种社会事件、聚集热点、热点社会新闻、网络热点图片、搞笑社会图片等范围为主。社会百态栏目将带着你走进最新、最全、最独特、最经典的社会百态图片,社会百态栏目将为你展现社会所发生的点点滴滴。

原标题:济宁十五中学子告别母校,今天的离别是为将来团聚
广东南雄警方破获网络制贩枪弹案 抓获7名嫌犯
农村里面有很多俗语,代表了过去的智慧;不过现在时代变了,很多事情都成了回忆,今天就回忆下农村那时候的事,这些俗语你还知道吗?
车位长期被占用,男子如此泄愤触刑法!
农村里面有很多俗语,尤其是养殖业方面的很多,里面汇集了农民朋友非常多的经验与智慧,这些俗语看似简单,但是是非常宝贵的,今天就继续给大家聊聊;
农村里面有很多俗语,里面蕴含着丰富的智慧,如今在农村的家里又学习到了很多俗语,小时候很喜欢钓鱼,就会抓蚯蚓,今天就聊聊蚯蚓的俗语,“尺蚓穿堤,能漂一邑”,农民朋友知道什么意思吗?其实另一句就好理解了,千里之堤毁于蚁穴,两句话是差不多的意思;
农村里面有很多俗语,里面蕴含着丰富的智慧;而前几天下雨,家里种的棉花因为泥土自然就会缺苗很多,所以农民朋友离不开天气与经验;
(原标题:独子旅馆死亡 家属索赔126万)
男子在酒吧“捡尸”得手10多次终被抓, 男子: 正常需求
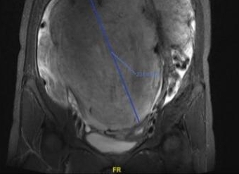
年轻少妇腹大如十月怀胎,结果却是长了巨大肿瘤。日前,一名患有巨大阔韧带肌瘤的患者在上海第九人民医院妇产科接受手术治疗,康复出院。
廉价药“降价死”拷问监管责任RELEASE:2018-06-11 SEE:0
廉价药“降价死”拷问监管责任
视侦引领、天网给力,兴仁县公安局认真贯彻落实《兴仁县公安局扫黑除恶“雷霆行动”第二号攻势令》,深入打击违法犯罪活动,全力维护辖区良好秩序。6月6日,视侦大队与刑侦大队城区中队密切配合,在东湖派出所、新龙场派出所、禁毒大队的大力支持下,利用“天
“水果试吃”、“6.08秒礼品任抢”、“新奇高科技产品试用”……近日,一辆“神秘”的时尚摩登大巴空降上海外滩、中国馆等各大景区和地标点,其新奇的玩法吸引了不少市民消费者上去探个究竟。
传销越来越张狂,发展也越来越广泛。以前我们听到传销二字总会把它和城市联系起来,毕竟传销骗的人,起码得要有一些积蓄。不过如今随着时代的发展,农村人也富了起来,于是传销顺理成章的走进了农村。目前传销在农村的发展依旧是城市的那一套,无非就是通过拉
不以“头衔” 论收藏RELEASE:2018-06-11 SEE:0
也许你买不起动辄几十万、几百万的名家作品,而又想投资一点潜力股,那么小而精的中青年书画家作品常会成为首选。因为中青年书画家作品价格相对不高,有升值潜力。
“国企大学习、大调研暨《中国力量》出版座谈会”6月10日在京举行。来自国资系统的专家、央企负责人、高校教授、央企新闻宣传部门负责人就此进行探讨。专家认为,《中国力量》是是我国第一本全景式记录中央企业在过去“极不平凡的五年”中推进供给侧结构性改
南国花锦带你去世界杯现场RELEASE:2018-06-11 SEE:0
#俄罗斯世界杯#俄罗斯人民热爱运动,莫斯科随处可见可以跑步的城市公园。起床慢跑一会儿,环境实在太舒服了。随处可见大片的森林湖泊,就在城市里。鸟也不怕人,跑过它们身边也自顾自啄食。生活和城市一样,得适度留白,得静得下来。这个公园以伊斯梅洛娃命名
大排档每晚占道经营 江阳东路两路口盼整治
社会百态热点排行榜
精品推荐
  • 坐拥400栋楼身家“过亿”,93年
  • 2020海底捞是不是涨价了?海底捞
  • 韩国也开始大面积爆发新型肺炎,
  • 蝗灾蔓延到印度和巴基斯坦,东非
  • 重庆是如何在抖音上火起来的,是
  • 汉中高三男生分手跳楼砸中过路高
  • 身边30岁左右的女孩都不结婚,是
  • 麦子资产被立案侦查怎么回事,麦
唯一图库有部分资源来源于互联网,图片版权归原作者所有,若有侵权问题敬请告知,我们会立即处理。本站图片资源如果没有特殊声明,一律禁止任何形式的转载和盗用。
关于我们 | 联系方式 | 网站地图 | Copyright © 2015-2020 MMONLY.CC. 唯一图库 |